Inicio
Bienvenidos

Bienvenidos

Permitanos darle un calido saludo de Bienvenida, tenemos la seguridad de que casi todo lo que le ofreceremos desde aqui, le permitirá ejercer con fines científicos al servicio de su paciente, mejorando los ingresos de su consulta, convirtiendo nuestra odontología en la ciencia - arte mas hermosa de todas las profesiones.

Nuestros productos

Nuestros productos

Sistemas y medios de diagnóstico de radiología digital para odontólogos, especialistas y subespecialistas en estética, ortodoncia, endodoncia, cirugía maxilar y maxilofacial, cráneo y cara, y odontología general Modelos maxilares testigos y de trabajo, fotografía clínica y diagnóstica para odontólogos generales.

¿Que queremos con esta página web?

¿Que queremos con esta página web?

Estar al día en la tecnología de avanzada que hoy ostenta ésta, de una manera fácil; sin mucho esfuerzo. No queremos inventar lo que ya esta inventado; lo único que deseamos es despertar la curiosidad científica del odontólogo que lo desee para hablar de los importantes momentos que vive la profesión hoy.

Estados Financieros 2017

A continuación se presentan los estados financieros del año 2017

Leer más...
 
Video

Toma de impresión digital para elaboración de aparatología en ortopedia maxilar y ortodoncia en 3D

Actualizado ( Miércoles, 04 de Mayo de 2016 16:28 )
 
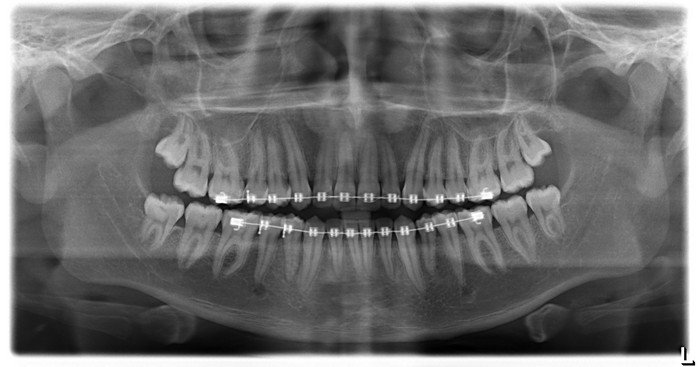
Anatomia

En las siguientes imagenes encontrará información útil sobre la anatomía que se puede observar en una radiografía panoramica

Anatomia-01Anatomia-02

Click sobre la imagen para ampliar

Actualizado ( Jueves, 01 de Marzo de 2012 19:46 )
 
Tomografía 3D

Las ventajas de esta tecnología y lo que puede hacer para ayudarle, le fácilitarán entender la emoción de quienes la usan

La Tomografía (3D, Volumétrica o Cone Beam) es un salto cualitativo en el diagnóstico y la planificación de tratamientos alrededor del mundo, facilitando tratamientos más seguros, precisos y menos invasivos.

Los procedimientos modernos abarcan áreas de interés cada vez más reducidas, exigiendo más detalles y más aporte a lo meramente visual. Antes, el profesional solo contaba con imágenes planas y debía hacer reconstrucciones mentales y deducir para trabajar en el paciente. Hoy, la Tomografía le presenta un todo tridimensional a escala real (1:1), sin la magnificación ni la distorsión de las radiografías, brindándole la mejor ayuda diagnóstica para el área oral y maxilofacial.

Aplicaciones:

En los principales países la Tomografía 3D ya se asocia de forma expresa al diagnóstico odontológico. Nuevos sensores de alta resolución que trabajan con baja dosis, y aplicaciones para visualizar las imágenes, hacen que el diagnóstico por tomografía 3D se esté aplicando cada vez más en la odontología general.

Leer más... Actualizado ( Viernes, 12 de Septiembre de 2014 17:30 )
 
           
Tenemos 4 invitados conectado(s)